
Fundada em 2005, a CEO • Odontologia Avançada é referência em Balneário Camboriú e toda Santa Catarina. Podemos afirmar que amamos o que fazemos e somos satisfeitos em sermos quem somos.
Um Sorriso Perfeito, na cor, formato e tamanho dos seus sonhos.
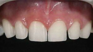
As facetas e lentes de porcelana são nos dias de hoje os diamantes da odontologia, sendo dois dos procedimento mais avançados da reabilitação dental, clareamento dental e de estética dental, garantindo um sorriso identico ao das estrelas Hollywoodianas.
Vale acrescentar que a técnica das facetas odontológicas é um procedimento que também pode ser usado para correção do posicionamento dos dentes. Portanto, pode-se dizer que as facetas laminadas são altamente recomendadas para vários tipos de necessidade de melhoria estética dental, clareamento dental e garantia de um belo sorriso Hollywoodiano.


A faceta de resina, é uma cópia idêntica de um dente natural realizada através da adição de resina composta. A resina recobre a parte da frente do dente como uma capa. Desta forma mascara imperfeições que mereçam tratamento, seja uma mancha, fratura, trinca ou aparência envelhecida do dente. Gerando um resultado fantásticos.

O tratamento começa com avaliação, no qual cada paciente passa pela moldagem e planejamento.

Aqui inicia uma fase de Mockup, um teste realizado para que o paciente tenha uma noção de como será suas lentes de contato dental, podendo escolher o formato e cores de duas lentes e ter uma ideia de como manter seu novo sorriso.

O paciente tem suas Lentes de Contato Dental instaladas, nosso grande diferencial acontece também nesse momento. Por possuir laboratório os ajustes quando necessários são realizados no mesmo momento, sem necessidade de nova consulta.

A cada sorriso renovado, fica uma história de renovação e felicidade. Pra sempre ter isso registrado, o paciente ganha uma sessão de ensaio fotografico e um quadro personalizado da CEO com a foto do seu novo sorriso.
Todas as nossas clínicas possuem um espaço exclusivo (Estúdio Fotográfico) onde você registra suas fotos e guarda elas pra toda sua vida.
Acreditamos que sua TRANSFORMAÇÃO merece ser registrada da forma mais profissional possível, é um momento de conexão com você mesmo do antes e depois. Momento que você deve registrar e guardar consigo. Cuidamos de cada detalhe da sua transformação, desde a consulta até o resultado final e registramos cada passo para você guardar como recordação e se lembrar dessa experiência que vai transformar sua auto estima.
AS FOTOS SÃO FEITAS POR PROFISSIONAIS




Agende sua consulta e conquiste o sorriso que sempre sonhou














A CEO conta com uma estrutura própria de 5 Andares e 8 consultórios de alto padrão, com profissionais especializados em lentes de contato e facetas dentais, o que proporciona a capacidade de oferecer uma solução otimizada para realizar o atendimento do nosso paciente em menor tempo possível, visando proporcionar uma experiência incrível com um atendimento 100% exclusivo e personalizado, onde o paciente e seu bem estar é a nossa prioridade. Estamos sempre investindo em tecnologias inovadoras buscando incansavelmente os melhores resultados. Afinal, o Seu sorriso é a nossa estrela.
















Referência em
Odontologia
Estamos preparados para atender aos nossos pacientes com máximo conforto, oferecendo acomodações e equipamentos com tecnologia de ponta.
Ótima
Infraestrutura
Contamos com os equipamentos mais atuais do mercado e um ambiente que proporciona conforto para os nossos pacientes.
Alta
Capacitação
Investimos constantemente no treinamento de toda a nossa equipe, de acordo com os métodos mais inovadores da odontologia.
Excelência
Premiação
Ganhadora do premio Top of Mind 2021/2022, Presenteada por excelencia, qualidade, compromisso e respeito com seus pacientes, a CEO se tornou Referência nacional e internacional em lentes de contato dental, facetas de porcelana e resina.
A faceta é um pouco mais grossa, e envolve o preparo do dente. A Lente de Contato
Dental é extremamente mais fina e exige pouco preparo no dente (desgaste
dental), ou seja, a lente de contato é um procedimento que desgasta menos o dente.
Todo o processo é indolor, ou seja, sem dor. Primeiro é feita uma avaliação bucal no paciente. Estando tudo certo, a próxima etapa é a produção do molde e a confecção das lentes.
A clínica CEO está localizada em uma das cidades mais bonitas e turísticas do Brasil. A Dubai brasileira, a clínica fica em Balneário Camboriú no estado de Santa Catarina a cerca de 80 km de Florianópolis, a cidade vem se consolidando como um dos principais destinos turísticos não só de Santa Catarina, mas também do Brasil.
A clínica CEO tem o celo garantia mínima de 10 anos de duração, mas se você seguir as nossas orientações sobre os cuidados, elas poderão durar pra sempre!
Em média 1 a 3 semanas suas lentes estão completas e colocadas.
O desgaste realizado no dente é o mínimo possível, o paciente pode ir para casa sem o provisório até a colocação do defenitivo.
A divulgação aberta/pública de valores de serviços e procedimentos odontológicos é proibida, por determinação do CRO-Conselho Regional de Odontologia- órgão que regula as diretrizes dos profissionais de odontologia. Para saber sobre valores e condições de pagamento, basta clicar no botão verde logo abaixo e Falar com nossa equipe.

Fundada em 2005, a CEO • Odontologia Avançada é referência em Balneário Camboriú e toda Santa Catarina. Podemos afirmar que amamos o que fazemos e somos satisfeitos em sermos quem somos.